患者實例
人工植牙實例
全口重建實例
牙齒美白實例
3D齒雕實例
假牙贋復實例
 
牙齒變色的原因?
牙齒美白能維持多久?
牙齒美白 Q&A
contact us
雲品牙醫粉絲團
首頁患者實例牙齒美白實例
 
  牙齒變黃怎麽辦?現在你不用擔心了。隨著科技的進步,現在
牙齒變白的很簡單,您可以考慮"牙齒美白"。
 
 
牙齒美白 實例一   牙齒美白 實例二   牙齒美白 實例三
牙齒美白 實例四 牙齒美白  實例五
      四環黴素的內因性染色
牙齒美白 實例六
雷射牙齦美白 實例一    
 

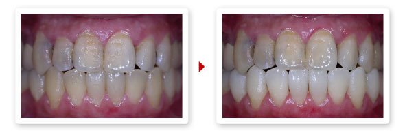
牙齒美白 實例一 (照片由雲品醫療團隊提供)

  治療前   治療後  
牙齒美白 實例二 (照片由雲品醫療團隊提供)
  治療前 (單下排區域美白)   治療後 (單下排區域美白)  
 
牙齒美白 實例三 (照片由雲品醫療團隊提供)
  治療前   治療後  
牙齒美白 實例四 (照片由雲品醫療團隊提供)
  治療前 (齒內美白)   治療後  
牙齒美白 實例五 四環黴素的內因性染色 (照片由雲品醫療團隊提供)
  治療前   治療後
等色階美白、居家美白外 全瓷貼瓷
也是很好的選擇哦。
 
牙齒美白 實例六 (照片由雲品醫療團隊提供)
  治療前 (齒內美白)   治療後  
雷射牙齦美白 實例一 (照片由雲品醫療團隊提供)
  治療前   治療後  
1
 
 
 
回首頁關於雲品植牙中心美容矯正服務項目患者實例活動訊息民眾專區網站導覽
雲品牙醫診所
預約專線:02-2332-2298 / 台北市萬大路 353 號
瀏覽人數: 湯尼大夫牙醫網
版權所有 © 2011 雲品牙醫診所 All Rights Reserved.